近日,县人民医院骨科为一名老年患者实施肩关节置换手术,此手术的成功标志着县人民医院骨科在骨关节治疗技术上又实现了一个重大突破。
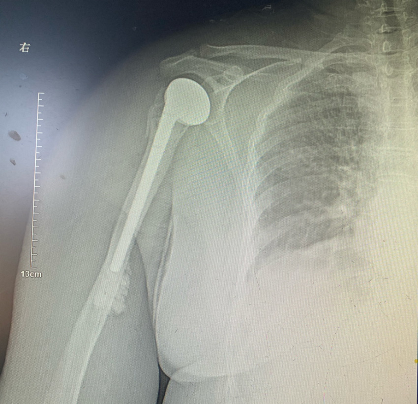
据悉,该名患者是一位68岁老年女性,因不慎摔倒致伤右肩部,伤后疼痛剧烈,右上肢活动障碍,遂到我院骨科就诊。入院后完善相关检查,诊断为:右侧肱骨近端粉碎性骨折Neer IV型,右侧肱骨头脱位,重度骨质疏松症。由于患者肱骨近端粉碎性骨折,肱骨头碎裂严重,若行常规的钛板内固定手术,可能复位不理想,后期出现创伤性关节炎可能性较大,将来有发生肱骨头缺血性坏死的可能,肩关节活动障碍的几率较大。
鉴于患者既往身体素质较好,为确保以后的生活质量,经过全科医师反复讨论,决定行右肩关节置换手术,尽可能减少骨折后遗症,最大限度恢复肩关节功能。确定手术方案后,经过周密的术前设计和准备,在麻醉科和骨科医护人员的密切配合下,顺利为患者实施手术。术后X片、CT复查显示假体位置良好,对位对线准确,松紧度适宜。目前患者能在医师指导下逐步进行康复锻炼,肩关节活动明显改善,患者对手术十分满意。经过康复训练,患者右上肢功能也将逐步恢复到健肢水平。
人工肩关节置换术在治疗肩关节骨性关节炎、类风湿性关节炎、肱骨近端粉碎性骨折、肱骨头缺血性坏死、无法修复的肩袖撕裂等疾病治疗方面具有重要的地位。不同于髋膝关节置换,该手术过程非常困难,如何适度松解关节囊并使关节脱位,如何充分暴露并保护臂丛神经及血管不受医源性损伤,完成肩袖修补,对术者有较高要求,操作难度较大。
目前我院骨科已常规开展髋关节、膝关节置换术,肩关节置换手术的开展,标志着我院骨关节外科专业的整体治疗水平又达到了一个新的高度。在复杂的骨关节损伤救治方面,有了较高的医疗水准,具备了多层次、多级别、多方式为关节病患提供优质、高效、安全的临床服务能力,骨科将以更加精湛的医疗技术为广大人民群众的健康保驾护航。

